矯正装置の種類
ホワイトブラケット

金属部が白いセラミックで出来ているため、メタルブラケットより目立たず審美性に優れています。
強度においてはメタルブラケットに比べ劣りますが、治療期間はメタルブラケットと変わりません。
セラミックブラケット(インビュー)

従来のセラミックブラケットに比べ、装置が薄く、色も目立ちにくく進化したものです。
セラミック部分は真っ白ではなく、自然に歯となじむよう透明感のある黄みがかった白色です。
ワイヤー部分も白いため、目立ちません。
また、装置そのものがコンパクトなので、装着している違和感が軽減されています。
治療期間はメタルブラケットと変わりません。
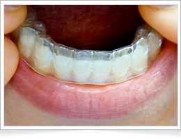
マウスピース型カスタムメイド矯正歯科装置(インビザライン)

透明色で取り外し可能なプラスチックのマウスピースを、2週間に1度交換することにより徐々に歯を動かしていきます。
装置をいつでも自由に取り外せるため、矯正治療中のホワイトニングも可能です。
見た目は透明なので、装着している時も他の人にはほとんど見えません。
また、金属アレルギーの方でも問題ありません。
マウスピース型カスタムメイド矯正歯科装置(クリアアライナー)

インビザラインと同様、透明で取り外し可能な矯正装置です。
インビザラインより薄く目立たないのが特徴ですが、毎回その時点の歯型を作成するので、歯型をとるのが苦手な方はインビザラインでの治療の方が楽かと思います。
カスタムメイド型リンガルブラケット矯正歯科装置(インコグニート)裏側矯正

インコグニートの最大の特徴は矯正装置(ブラケット)を歯の裏側に装着できることです。歯の裏側に装置があるので、舌があたってしゃべりにくいことや、発音しにくいということはあります。しかし、表側からは矯正装置がほとんど見えないので、周囲の人たちに気付かれずに矯正治療を行なうことができます。
デーモンシステム
デーモンシステムとは、矯正装置のワイヤーをブラケットに固定させないため最小限の力によって矯正する治療法です。治療期間も短く、体に優しく治療することが出来ます。半分がセラミックのため、メタルブラケットより審美的にも優れています。
リテーナー(保定装置)

リテーナーは矯正装置によって歯や顎の移動が終わった後、後戻りによって歯が元に戻るのを防ぐために装着するものです。














