目立たないブラケット
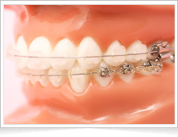
セラミックブラケット

セラミックブラケットは、歯の色に近いセラミック製の矯正装置のことです。
色合いから、メタルブラケットに比べて目立たずに矯正治療を行うことができます。
同じく目立たない矯正装置の一つにマウスピース型の装置がありますが、あらゆる症例に適さないといったデメリットがありました。
しかしセラミックブラケットなら、比較的どのような症例でも治療が可能です。
治療期間は、メタルブラケットでの治療と変わりありません。ただしメタルブラケットに比べ、費用は高くなります。
→治療費(成人矯正)の詳しい内容はこちら
裏側矯正
裏側矯正は、歯の裏側にワイヤーやブラケットなどの矯正装置をつけ、表側からは装置が見えない、審美的に優れた矯正装置のことです。
表側の矯正と比べ優れているポイントは、装置が目立たないことのほか、「虫歯になりにくいこと」が挙げられます。
矯正中は矯正装置の部分がブラッシングしにくく、虫歯になりやすいものです。
ところが、裏側矯正の場合、装置がある歯の裏側には常に唾液が分泌されているため、
虫歯菌に対して殺菌効果が高い唾液の力によって、虫歯になりにくいのです。
使用する装置によって治療時間の短縮も可能になります。
マウスピース矯正
マウスピース矯正は、取り外しができる透明なマウスピース型の矯正装置(以下、アライナー)です。
上顎または下顎それぞれの歯列全体を包み込む形をした新しいタイプの装置です。
マウスピース矯正といっても国内外で、様々な種類があり、メーカーによって製造の流れや交換頻度、
材質が異なる場合がありますが、いずれも自分で簡単に装着・取り外しができて、軽くて目立ちにくい材料・形状なのが特徴です。
治療計画通りに歯を動かすには、毎日20時間以上(種類により異なる)の装着が必要ですが、
食事や歯磨きのときなどの短時間の取り外しは可能です。
インビュー(InVu)

ホワイトワイヤーセラミックブラケットを使用。
インビューは、セラミックブラケットの中でも最も審美性の高い装置です。
その特徴は、まるで歯と同化したかのような自然な白さ。
歯の色になじみやすく仕上げた特殊設計により、自然に美しい白さが実現できます。ワイヤーも白いので、目立ちません。
装置はこれまでのセラミックブラケットに比べさらに薄く、違和感が軽減されます。また、治療中の着色や変色はほとんどありません。
→治療費(成人矯正)の詳しい内容はこちら
















