矯正治療の痛みについて
矯正治療の痛みについて
「矯正治療は痛そう…」と治療をためらっている方は少なくないようです。
当院では快適に矯正治療をお受けいただけるよう、「できるだけ痛みを軽減する治療」を心がけております。
ワイヤーそのものは締め付け過ぎないよう、なるべくやさしく、綿密な調整をしながら装着していきます。
痛みへのご不安がある方は当院までご相談ください。
「矯正は痛い」というイメージをお持ちの方も少なくないと思います。
確かに、装置を着けたり調整した後、3日くらいは歯が浮いたような感覚で食事の際に痛みがでたり、口内炎ができてしまって痛いということもあります。
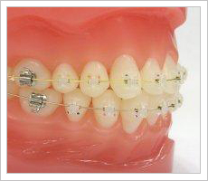
当院で使用するワイヤー(装置に通すもの)の95%は超弾性、形状記憶という性質を持っています。簡単に言うと、非常に柔らかく、弱い力を継続的に歯に伝え、元の形に戻ろうとする力により歯を動かします。
これにより、歯にあたえるダメージが最小限となり、痛みも少なく、且つ効率的に歯を動かすことができるのです。
これは、本来曲げたり調整不可能な超弾性、形状記憶ワイヤーを、ヒートベンダーという機器によって処理し、調整可能とするもので、使用できる矯正歯科は決して多くありません。

ヒートベンダー
また、口内炎対策としては装置にカバーをする矯正用ワックスをさしあげます。
器具が患部に当たらないようにするなどの処置を行います。
また口内炎ができてしまった場合は早期治癒を促す軟膏を処方します。
ローフリクションシステム(デーモンシステム)
現在の矯正歯科界のメイントピックの1つに、ローフリクションという概念があります。
これはその名のとおり低摩擦ということです。そのやり方で有名なのが、
アメリカの矯正歯科医デュイット・デーモン博士が開発した『デーモンシステム』です。
具体的には従来、歯に装着したブラケットにワイヤーを縛りつけていたのを、縛りつけず自由にすべることを可能にしたのです。
それにより、歯にかかる負担が少ない、歯列の拡大がしやすく非抜歯矯正に有利、若干治療期間が短縮されるなどのメリットがあると言われています。
(ただし、一部広告等で謳われている、『30%早くなる!』などということはないと思われますが・・・?)
当医院で行っている矯正治療は全てローフリクションシステムです。
お痛みはできるだけ少なく、しかもスムーズな歯の移動を目指しています。
→治療費(成人矯正)の詳しい内容はこちら
形状記憶合金ワイヤー
痛みを軽減させる方法の一つが形状記憶合金ワイヤーです。
材質はやわらかく、変形しやすいという特徴があります。
従来の装置では歯を移動させるために強い力が加わり、食事も困難をきたすほど痛みを伴うことがありました。
形状記憶合金ワイヤーは、痛みを分散させながらやさしく歯を動かす性質があります。
→治療費(成人矯正)の詳しい内容はこちら
非抜歯矯正について
矯正歯科治療では、歯並びを整えるために歯を抜くことがあります。
抜歯となる歯は、小臼歯(前から4番目または5番目の歯)が多いですが、虫歯の進行している歯を優先的に抜歯することもあります。
なぜ矯正歯科治療で抜歯をするケースが多いのでしょうか。
それは、歯並びが悪くなってしまった原因として、歯に比べて顎が小さいケースや上下顎の前後関係が大きくずれているケースなどで、歯をきれいに並べて、かみ合わせをつくるにはスペースを確保するため抜歯が必要となります。
しかし、健康なまだ使える歯を抜くことに抵抗があるという方や、抜歯は痛いので避けたいと希望される方はたくさんいます。当医院では、まず第一選択として、歯を抜かない矯正治療を考えます。
抜歯をしたくないという患者さんのために、治療開始前に抜歯をして矯正歯科治療をした場合と抜歯をせずに矯正歯科治療をした場合の歯並び・横顔のラインなどを十分ご説明した上で治療にあたらせていただきます。
非抜歯矯正の方法

歯列のアーチの拡大、奥歯の後方移動などによりスペースを確保
元々歯列のアーチが狭い方は、歯列のアーチを拡大することで歯をきれいに並べるためのスペースを確保します。
床矯正装置による歯槽骨の拡大や超弾性型Ti‐Niワイヤーによる歯列弓の拡大などが挙げられます。
またインプラント矯正により奥歯を後方に移動することによってもスペースを確保することができます。(その場合は親知らずは抜歯することとなります。)
ただし、口元が出てお顔のバランスが悪くなる場合や歯列が歯ぐきの骨の中に納まりきらないことが予想される場合では、ご相談の上、抜歯を選択することもあります。
当医院では、あなたの希望に沿った治療をご提案させていただき十分話し合った上で治療にあたらせていただきます。
→治療費(成人矯正)の詳しい内容はこちら
クリアスナップ

クリアスナップ

クリアブラケットにクリアスナップを装着し、
ワイヤーを装着
歯列矯正用ワイヤー

歯列矯正用ワイヤー














