アンカースクリュー矯正
アンカースクリュー矯正で治療期間を短縮


一般的なデンタルインプラント(歯の無いところに人工の歯根を埋入する)とは異なり、矯正治療期間だけ歯科矯正用のアンカースクリュー(ネジ)を骨に埋め込むもので、それを力の土台として歯を動かすために用います。
これにより、従来の矯正治療ではつきものであった作用反作用を考慮した固定源の設定が必要なくなるため、
効率的な歯の移動が可能となり、症例によっては、治療期間をある程度短縮できたり、わずらわしい付加的装置(ヘッドギア等)が必要なくなったり、非抜歯の矯正治療が可能となったり、上下の歯の左右的ズレを効率的に治せたりすることがあります。
ただし、全ての患者様に有効なわけではなく、その必要性、タイプ、埋入部位は症例によって異なります。
つまり、有効利用できるかどうかは矯正医の診断力にかかってくると言えるでしょう。
もちろん、十分な解剖学、口腔外科学的知識も必要なことは言うまでもありません。
埋入時の処置は、通常使用するスクリューの場合、局所麻酔下で10分~20分(1本)程度で終了するので、非常に細いネジを埋め込むためほとんど痛みはありません。
処置後に腫れや痛みが残ることはほとんどありません。
撤去時の処置は、通常5分程で終了します。撤去後、埋入していた部位に痕が残ったりすることはありません。
アンカースクリュー矯正の特徴
治療期間について
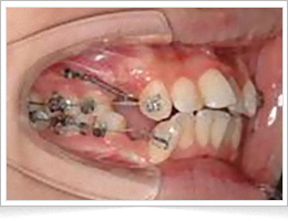
アンカースクリュー矯正は、矯正用のアンカースクリューを顎の骨に埋入し、そこを支点にして歯を移動させます。
矯正用のアンカースクリューはチタンでできていて、顎の骨と結合する性質があります。
歯を動かすための固定源がしっかりしているので効率よく歯を動かせるので、治療期間が短縮出来る可能性があります。
アンカースクリュー矯正のアンカースクリューは、通常の歯科インプラントのような大掛かりなオペは必要なく簡単に数分で埋め込むことができます。また、矯正用のアンカースクリューは簡単に撤去可能なのもメリットの一つでしょう。
難症例も治療可能に
アンカースクリュー矯正により、通常ではなかなか動かせない方向に歯を動かす治療が可能になりました。
今までは難しいといわれた、 延びてしまった歯を短くする事が可能になり、ガミースマイルと呼ばれる笑った時に歯ぐきが必要以上に見える状態の改善にも有効です。
抜歯について
通常のワイヤー矯正ではなかなか動かせない、奥歯を含めたすべての歯を後ろに移動させることができるようになり、
スペースを確保するために行っていた抜歯をしないで治療できるようになりました。
また、あごを広げたり1本だけを自由に動かす事が可能になってきました。
良い治療結果が得られやすい
アンカースクリューを固定源とすることで、確実な歯の移動が行えるようになりました。
従来、歯を効率よく動かすために使用していた補助的な矯正器具(ヘッドギアなど)を使用せずに治療ができます。
アンカースクリュー埋入について
矯正用アンカースクリューを埋入するための手術が必要となり、矯正が終了した時点で取らなくてはいけません。
最終的に撤去するものなので、まれに脱落する場合があります。(その際は再埋入します。)
矯正用アンカースクリューを埋め込む深さは、2~3mmで重要な組織(太い血管、神経等)が無い部分にアンカースクリューを埋め込みますので非常に安全です。
又、手術時間は、埋入するアンカースクリューの種類にもよりますが、小さなネジの形をしたビス型のアンカースクリュー(ミニスクリュータイプ)の場合、 10~20分ほどで簡単に手術が終わります。
ビス型よりやや大きめのプレート型(ミニプレートタイプ)の場合、約1時間程度で手術が終わります。
ほとんど痛みはなく、 術後の日常生活に制限は特にありません。
しかし、アンカースクリューの周りは感染症を起こしやすいので、歯みがきをきちんと行うことが大切です。
アンカースクリュー矯正の治療料金
| 治療内容 | 治療料金 | |
|---|---|---|
| 成人矯正(永久歯列) | 600,000~700,000円 | |
| アンカースクリュー矯正 | 20,000円/本 | |
※上記料金以外に、消費税が別途かかります。以後税率改定が生じた場合には改定後の税率となります。
矯正用アンカースクリューの埋入について
手術時間
埋入するアンカースクリューの本数により手術時間は異なりますが、1本につき、およそ10分~20分。
入院が必要になることありません。
アンカースクリューの材質
通常のインプラント治療と同じく、人体と親和性の最も高いチタンを用います。
矯正用アンカースクリューの形状は直径が1.4から2.0mm、長さが6.0から10.0mmのネジのような形状をしています。
麻酔
通常の抜歯の時に使用する簡単な局所麻酔だけで行います。(麻酔の量も少なめです)
痛みや腫れ
痛みや腫れが生じる場合が、まれにありますが、大体2~3日で治まります。
術後
特にアンカースクリュー体周囲の衛生管理に努めることが大切です。
違和感にはすぐに慣れ、日常に支障をきたすことはないでしょう。
アンカースクリューの埋入部位は外見的にもわかりません。(口腔内の後方に位置するため)














